
Experienced Dentist in Downtown Toronto
Looking for a trusted dentist in Downtown Toronto? At Dentistry on Gloucester, we offer comprehensive dental services tailored to your needs. From routine check-ups to advanced treatments, our team ensures you receive exceptional care with transparent pricing. Book your appointment today and enjoy a healthier, brighter smile.
We’re located close to Toronto’s LGBTQ2SAI+ village (Toronto Gay Village) at Church-Wellesley and have over 15 years of experience providing compassionate dental care. We proudly offer a safe and welcoming environment for all patients and staff, supporting the LGBTQ2SAI+ community every step of the way!
Before and After Results

Procedure: Gap Closer
I had a noticeable gap between my front teeth and it always bothered me. After the Gap Closer treatment, my smile looks perfect! So happy with the results.

Procedure: Orthodontics (Braces)
I had crooked teeth for years, and it really affected my confidence. After starting orthodontic treatment with braces, I saw amazing improvements in just a few months. Now, my teeth are straight, and I can’t stop smiling. I’m beyond happy with the results!

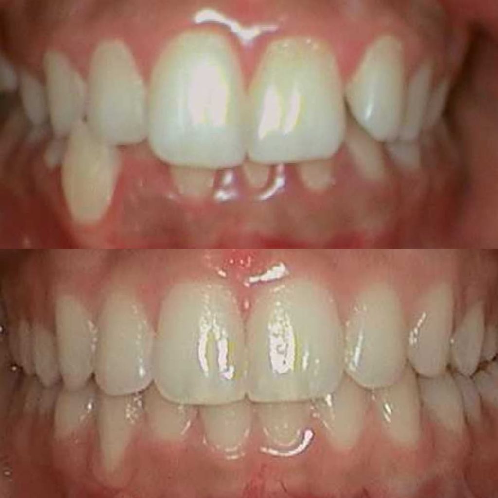
Procedure: Veneers
I was always self-conscious about the discoloration and small chips in my teeth. After getting veneers, my smile looks flawless! The process was quick, and the results are beyond what I imagined. I feel so much more confident now!

Procedure: Teeth Whitening
I’ve always wanted a brighter smile, but my teeth were stained from years of coffee and tea. After the teeth whitening treatment, my smile is noticeably whiter and more vibrant. It’s a game-changer, and I feel so much more confident in photos now!

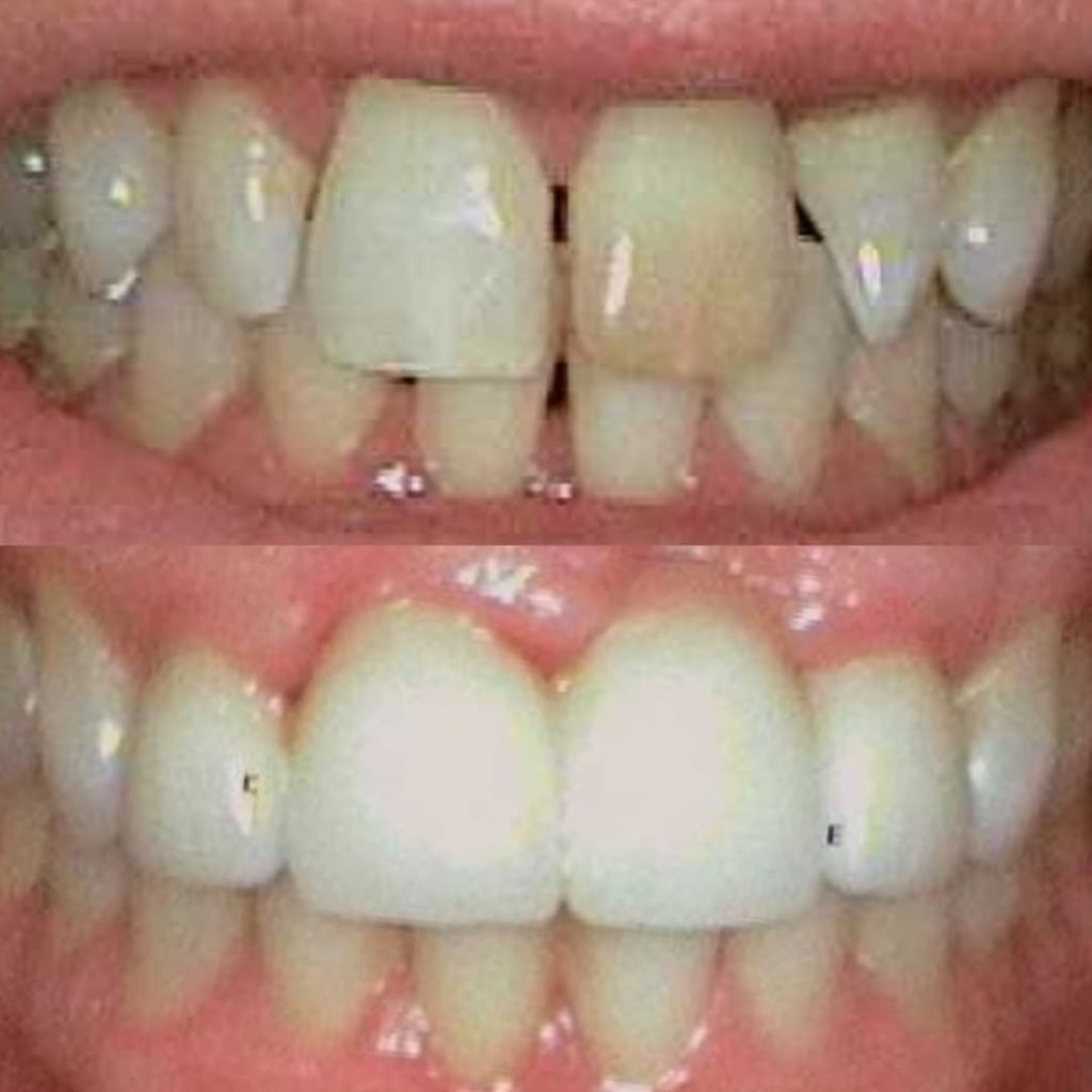
Procedure: Veneers
I’ve always been embarrassed by the gaps and uneven shape of my teeth. After getting veneers, I feel like I have a whole new smile! The results are stunning and natural-looking, and I can’t stop smiling. So glad I decided to go for it!

Procedure: Veneers
I never thought I could have the perfect smile, but veneers gave me just that! The transformation is incredible. My teeth are whiter, straighter, and look completely natural. I’m more confident than ever when I smile!
Initial Consultation
Schedule an appointment with one of our expert dentists at Dentistry on Gloucester. We’ll evaluate your dental needs, discuss treatment options, and provide transparent pricing so you know exactly what to expect.
Visit Dentistry on Gloucester
Come to our clinic in Downtown Toronto for a thorough dental check-up, X-rays, and a detailed evaluation of your oral health. Our team will create a personalized treatment plan tailored to your needs.
Start Your Treatment
Whether you're undergoing routine care, orthodontics, veneers, or any other procedure, our team at Dentistry on Gloucester will guide you through every step. We’ll monitor your progress to ensure you achieve the smile you’ve always wanted.
EXCELLENT Based on 235 reviews Posted on Pannah YazdanmehrTrustindex verifies that the original source of the review is Google. Very nice experience. Comfortable clean and easy. RecommendPosted on M PTrustindex verifies that the original source of the review is Google. The staff and dentist here are very friendly, professional and patient. I’ve had a very good experience here.Posted on hertz zhangTrustindex verifies that the original source of the review is Google. Fast service good pricePosted on KrisTrustindex verifies that the original source of the review is Google. This was an all around wonderful experience. I came in as a new patient. The front reception staff were extremely friendly and genuine. The office atmosphere was really nice and calm. It's a new building, with big bright windows. They have TV's in the exam rooms and you can choose a show to stream while you're getting work done. Bonus. The hygienist was incredible! I honestly cannot say enough kind words. What a skilled individual. She was thoughtful, friendly and listened to my concerns. The Dentist did my initial exam and he was also really friendly and asked questions and listened. Top notch experience. lol I know this sounds over the top lol but I'm being sincere (I've already recommended this office to my friend).Posted on Marnasha FelicienTrustindex verifies that the original source of the review is Google. The services rendered here is exceptionally great and the staff members are very pleasant and greets you with a warm welcome. If you're looking for a new dentist I highly recommend it.Posted on JisookTrustindex verifies that the original source of the review is Google. I had a fantastic experience at this dental office. They were able to accommodate my schedule perfectly, getting me in for an exam and treating my tooth the very next day. The staff is welcoming, and Dr. Gebremedhin is excellent. He made me feel at ease immediately, and I’m really happy with the results. Highly recommend!Posted on Rohan ThotaTrustindex verifies that the original source of the review is Google. first time visiting this clinic and honestly it was a great experience from start to finish. I called with very short notice and they were still able to get me in the very next day which I really appreciated. went in for a cleaning, x-rays, and a full exam and everything went smoothly. the whole visit was quick and easy and I didn’t have to wait long at all. the dentist and staff were super friendly and made me feel comfortable the entire time, everyone was welcoming and professional.Posted on DonnieTrustindex verifies that the original source of the review is Google. Excellent experience from start to finish. The staff is friendly, welcoming, and genuinely caring. The dentist took the time to explain everything clearly, showed me the xrays, and made sure I was comfortable the entire visit. I never felt rushed or pressured. They also accept the new government dental insurance (CDCP), which was a big plus. Highly recommend! Very pretty insidePosted on Saeede HasanpoorTrustindex verifies that the original source of the review is Google. I had a cleaning and exam, and everything was great. I was very satisfied with the service I received, and they kindly helped me book an appointment on short notice.Posted on Ilya YakushevTrustindex verifies that the original source of the review is Google. Very good clinic and super professional doctors. Highly recommend!
Dr. Ahferom Gebremedhin
Dr. Ahferom Gebremedhin is a distinguished downtown Toronto dentist specializing in full-mouth rehabilitation. He combines advanced techniques with a compassionate approach, providing personalized, affordable dental care at Dentistry on Gloucester to ensure optimal oral health and confidence.
Meet Our Dentist in Downtown Toronto
Book an Appointment
FAQs
Look for a dentist with convenient location, relevant experience, positive reviews, and a range of services. Check their qualifications and ensure the clinic has modern technology and a comfortable environment.
A standard dentist visit in Toronto typically costs between $150 – $250 for a check-up and cleaning. Prices vary based on the treatment, with fillings, cosmetic procedures, and orthodontics costing more.
Check online reviews on platforms like Google and Yelp, ask for referrals from friends and family, and verify the dentist’s credentials with professional organizations like the Ontario Dental Association.




